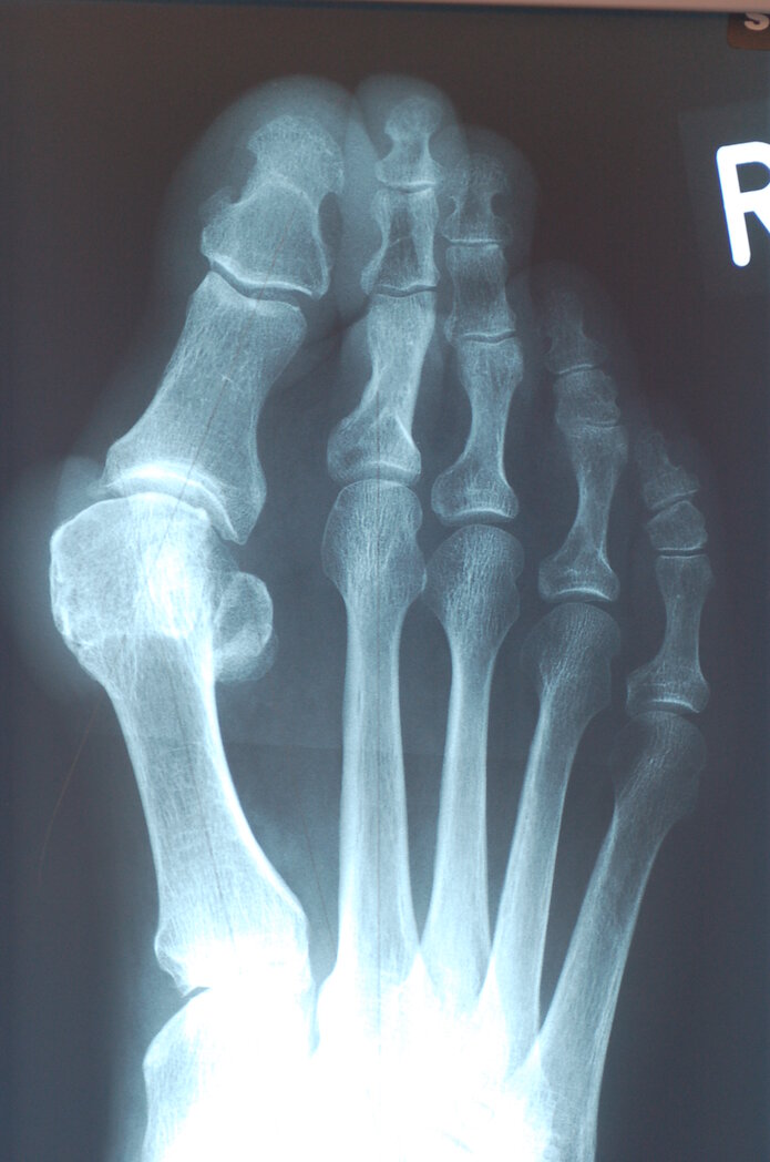
Hallux Valgus
Für den Hallux valgus gibt es viele Bezeichnungen, z.B. Überbein, Ballenzeh, Frostballen oder Schiefzehe. Sie alle beschreiben die gleiche Fehlstellung, bei welcher die Großzehe aus der Reihe tanzt und im Laufe der Zeit zu zahlreichen Beschwerden führt.
Beim Hallux valgus handelt es sich um die häufigste Fehlstellung des Vorfußes und der Zehen. Während bei einem gesunden Fuß die Zehenknochen gerade ausgerichtet sind, neigt sich bei einem Hallux valgus das Grundgelenk der Großzehe nach außen. Durch diese Abspreizung des ersten Mittelfußknochens wird der Fuß breiter. An seiner Innenseite wird eine mehr oder weniger große und charakteristische Wölbung am Großzehengrundgelenk sichtbar. Unbehandelt verändert die Großzehe zunehmend ihre Ausrichtung und schiebt sich über oder unter die Kleinzehen. Sie verdrängt diese aus ihrer natürlichen Position, was zu weiteren Fußdeformitäten führt.
Beschwerden
Unbehandelt kann die Fehlstellung die gesamte Biomechanik des Fußes verändern und zu weiteren Erkrankungen und Fehlstellungen führen (z.B. Krallen- und Hammerzehen).
Durch die Fehlstellung wird das Großzehengrundgelenk überlastet, was vorzeitigen Gelenkverschleiß fördert. Die kleineren Zehen werden verdrängt und in ihrer Funktion gestört. Mit zunehmendem Verlauf wird die aktive Beweglichkeit der Großzehe immer mehr eingeschränkt, bis hin zur Versteifung. Da die Großzehe nicht mehr so eingesetzt wird wie bei einem gesunden Fuß, werden die kleineren Zehen überlastet. Es kommt zu Schmerzen, Rötungen, Schwellungen und Schwielenbildung.
Ein fortgeschrittener Hallux führt beim Gehen zu schmerzhaften Entzündungen des Zehenballens, da dieser beim Gehen unangenehm gegen die Schuhe reibt, was schließlich auch zu Entzündungen der Weichteile im Bereich des Gelenks führen kann. In diesem Stadium macht sich die Fehlstellung in vielen Alltagssituationen und beim Sport schmerzhaft bemerkbar. Betroffene haben Probleme geeignete Schuhe zu finden, zudem kommt es zu einer charakteristischen Veränderung des natürlichen Abrollverhaltens und des Gangbilds.
Beschwerden/Folgen: Bildung eines vergrößerten Ballens am Großzehengrundgelenk, Rötungen, Schwellungen, Schwielenbildung, Entzündungen, Verdrängung und Überlastung der kleineren Zehen, Überlastung des Großzehengrundgelenks, vorzeitiger Gelenkverschleiß, eingeschränkte Beweglichkeit der Großzehe, Veränderung des Gangbilds, schlechtere Balance beim Gehen
Hallux valgus
Für den Hallux valgus gibt es viele Bezeichnungen, z.B. Überbein, Ballenzeh, Frostballen oder Schiefzehe. Sie alle beschreiben die gleiche Fehlstellung, bei welcher die Großzehe aus der Reihe tanzt und im Laufe der Zeit zu zahlreichen Beschwerden führt.
Beim Hallux valgus handelt es sich um die häufigste Fehlstellung des Vorfußes und der Zehen. Während bei einem gesunden Fuß die Zehenknochen gerade ausgerichtet sind, neigt sich bei einem Hallux valgus das Grundgelenk der Großzehe nach außen. Durch diese Abspreizung des ersten Mittelfußknochens wird der Fuß breiter. An seiner Innenseite wird eine mehr oder weniger große und charakteristische Wölbung am Großzehengrundgelenk sichtbar. Unbehandelt verändert die Großzehe zunehmend ihre Ausrichtung und schiebt sich über oder unter die Kleinzehen. Sie verdrängt diese aus ihrer natürlichen Position, was zu weiteren Fußdeformitäten führt.
Beschwerden
Unbehandelt kann die Fehlstellung die gesamte Biomechanik des Fußes verändern und zu weiteren Erkrankungen und Fehlstellungen führen (z.B. Krallen- und Hammerzehen).
Durch die Fehlstellung wird das Großzehengrundgelenk überlastet, was vorzeitigen Gelenkverschleiß fördert. Die kleineren Zehen werden verdrängt und in ihrer Funktion gestört. Mit zunehmendem Verlauf wird die aktive Beweglichkeit der Großzehe immer mehr eingeschränkt, bis hin zur Versteifung. Da die Großzehe nicht mehr so eingesetzt wird wie bei einem gesunden Fuß, werden die kleineren Zehen überlastet. Es kommt zu Schmerzen, Rötungen, Schwellungen und Schwielenbildung.
Ein fortgeschrittener Hallux führt beim Gehen zu schmerzhaften Entzündungen des Zehenballens, da dieser beim Gehen unangenehm gegen die Schuhe reibt, was schließlich auch zu Entzündungen der Weichteile im Bereich des Gelenks führen kann. In diesem Stadium macht sich die Fehlstellung in vielen Alltagssituationen und beim Sport schmerzhaft bemerkbar. Betroffene haben Probleme geeignete Schuhe zu finden, zudem kommt es zu einer charakteristischen Veränderung des natürlichen Abrollverhaltens und des Gangbilds.
Beschwerden/Folgen: Bildung eines vergrößerten Ballens am Großzehengrundgelenk, Rötungen, Schwellungen, Schwielenbildung, Entzündungen, Verdrängung und Überlastung der kleineren Zehen, Überlastung des Großzehengrundgelenks, vorzeitiger Gelenkverschleiß, eingeschränkte Beweglichkeit der Großzehe, Veränderung des Gangbilds, schlechtere Balance beim Gehen
Hallux Valgus
Für den Hallux valgus gibt es viele Bezeichnungen, z.B. Überbein, Ballenzeh, Frostballen oder Schiefzehe. Sie alle beschreiben die gleiche Fehlstellung, bei welcher die Großzehe aus der Reihe tanzt und im Laufe der Zeit zu zahlreichen Beschwerden führt.
Beim Hallux valgus handelt es sich um die häufigste Fehlstellung des Vorfußes und der Zehen. Während bei einem gesunden Fuß die Zehenknochen gerade ausgerichtet sind, neigt sich bei einem Hallux valgus das Grundgelenk der Großzehe nach außen. Durch diese Abspreizung des ersten Mittelfußknochens wird der Fuß breiter. An seiner Innenseite wird eine mehr oder weniger große und charakteristische Wölbung am Großzehengrundgelenk sichtbar. Unbehandelt verändert die Großzehe zunehmend ihre Ausrichtung und schiebt sich über oder unter die Kleinzehen. Sie verdrängt diese aus ihrer natürlichen Position, was zu weiteren Fußdeformitäten führt.
Beschwerden
Unbehandelt kann die Fehlstellung die gesamte Biomechanik des Fußes verändern und zu weiteren Erkrankungen und Fehlstellungen führen (z.B. Krallen- und Hammerzehen).
Durch die Fehlstellung wird das Großzehengrundgelenk überlastet, was vorzeitigen Gelenkverschleiß fördert. Die kleineren Zehen werden verdrängt und in ihrer Funktion gestört. Mit zunehmendem Verlauf wird die aktive Beweglichkeit der Großzehe immer mehr eingeschränkt, bis hin zur Versteifung. Da die Großzehe nicht mehr so eingesetzt wird wie bei einem gesunden Fuß, werden die kleineren Zehen überlastet. Es kommt zu Schmerzen, Rötungen, Schwellungen und Schwielenbildung.
Ein fortgeschrittener Hallux führt beim Gehen zu schmerzhaften Entzündungen des Zehenballens, da dieser beim Gehen unangenehm gegen die Schuhe reibt, was schließlich auch zu Entzündungen der Weichteile im Bereich des Gelenks führen kann. In diesem Stadium macht sich die Fehlstellung in vielen Alltagssituationen und beim Sport schmerzhaft bemerkbar. Betroffene haben Probleme geeignete Schuhe zu finden, zudem kommt es zu einer charakteristischen Veränderung des natürlichen Abrollverhaltens und des Gangbilds.
Beschwerden/Folgen: Bildung eines vergrößerten Ballens am Großzehengrundgelenk, Rötungen, Schwellungen, Schwielenbildung, Entzündungen, Verdrängung und Überlastung der kleineren Zehen, Überlastung des Großzehengrundgelenks, vorzeitiger Gelenkverschleiß, eingeschränkte Beweglichkeit der Großzehe, Veränderung des Gangbilds, schlechtere Balance beim Gehen
Hallux valgus
Für den Hallux valgus gibt es viele Bezeichnungen, z.B. Überbein, Ballenzeh, Frostballen oder Schiefzehe. Sie alle beschreiben die gleiche Fehlstellung, bei welcher die Großzehe aus der Reihe tanzt und im Laufe der Zeit zu zahlreichen Beschwerden führt.
Beim Hallux valgus handelt es sich um die häufigste Fehlstellung des Vorfußes und der Zehen. Während bei einem gesunden Fuß die Zehenknochen gerade ausgerichtet sind, neigt sich bei einem Hallux valgus das Grundgelenk der Großzehe nach außen. Durch diese Abspreizung des ersten Mittelfußknochens wird der Fuß breiter. An seiner Innenseite wird eine mehr oder weniger große und charakteristische Wölbung am Großzehengrundgelenk sichtbar. Unbehandelt verändert die Großzehe zunehmend ihre Ausrichtung und schiebt sich über oder unter die Kleinzehen. Sie verdrängt diese aus ihrer natürlichen Position, was zu weiteren Fußdeformitäten führt.
Beschwerden
Unbehandelt kann die Fehlstellung die gesamte Biomechanik des Fußes verändern und zu weiteren Erkrankungen und Fehlstellungen führen (z.B. Krallen- und Hammerzehen).
Durch die Fehlstellung wird das Großzehengrundgelenk überlastet, was vorzeitigen Gelenkverschleiß fördert. Die kleineren Zehen werden verdrängt und in ihrer Funktion gestört. Mit zunehmendem Verlauf wird die aktive Beweglichkeit der Großzehe immer mehr eingeschränkt, bis hin zur Versteifung. Da die Großzehe nicht mehr so eingesetzt wird wie bei einem gesunden Fuß, werden die kleineren Zehen überlastet. Es kommt zu Schmerzen, Rötungen, Schwellungen und Schwielenbildung.
Ein fortgeschrittener Hallux führt beim Gehen zu schmerzhaften Entzündungen des Zehenballens, da dieser beim Gehen unangenehm gegen die Schuhe reibt, was schließlich auch zu Entzündungen der Weichteile im Bereich des Gelenks führen kann. In diesem Stadium macht sich die Fehlstellung in vielen Alltagssituationen und beim Sport schmerzhaft bemerkbar. Betroffene haben Probleme geeignete Schuhe zu finden, zudem kommt es zu einer charakteristischen Veränderung des natürlichen Abrollverhaltens und des Gangbilds.
Beschwerden/Folgen: Bildung eines vergrößerten Ballens am Großzehengrundgelenk, Rötungen, Schwellungen, Schwielenbildung, Entzündungen, Verdrängung und Überlastung der kleineren Zehen, Überlastung des Großzehengrundgelenks, vorzeitiger Gelenkverschleiß, eingeschränkte Beweglichkeit der Großzehe, Veränderung des Gangbilds, schlechtere Balance beim Gehen
